烟雾病患者接受颞浅动脉-大脑中动脉(STA-MCA)双吻合术后,可能发生出血性脑高灌注综合征(CHS),这一并发症构成潜在致命风险。INC国际神经外科专家川岛明次教授团队通过7例术后出血病例分析,揭示出血核心预警信号——局部脑血流(rCBF)增加率,并明确科学管理策略。
STA-MCA直接吻合术旨在为缺血脑组织建立血运重建。但部分患者因长期代偿性血管扩张导致血管脆弱,突然增加的血流冲击可能引发血管源性水肿、渗血或破裂出血,即脑高灌注综合征(CHS),其最严重表现为出血性CHS,起病急骤,预后不良。
INC教授团川岛明次教授团队系统监测251台手术,发现7例出血性CHS患者。这些病例为风险预警提供重要方向。
研究团队发现,术后即时监测的局部脑血流(rCBF)增加率是预测出血的关键指标。主要采用两种计算方法:
方法1(横向比较):手术侧rCBF值除以非手术侧rCBF值
方法2(纵向比较):术后手术侧rCBF值除以术前手术侧rCBF值
当rCBF增加率超过特定阈值(方法1≥30%,方法2≥50%)时,出血风险显著增加。以下七个病例验证这一规律:
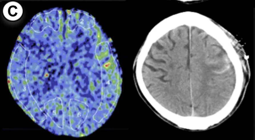
病例1:55岁男性,右侧大脑手术。方法1 rCBF增加率47%,方法2达55%(超过50%阈值)。术后第3天未维持镇静,第2天发生脑出血,改良Rankin量表评分恶化。

病例2:55岁男性,左侧大脑手术。方法1和方法2的rCBF增加率均为50%,达到预警阈值。术后第1天发现少量蛛网膜下腔出血(SAH),因术前规划2天镇静和血压控制,未出现神经功能缺损。

病例3:44岁女性,左侧大脑手术。方法1 rCBF增加率100%,方法2达114%,术后第2天脑出血。因术后及时给予1天镇静和严格控压,未遗留神经功能问题。

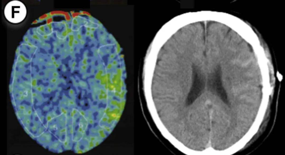
病例4:49岁女性,右侧大脑手术。方法1 rCBF增加率89%,方法2达133%,术后第5天发现硬膜下血肿合并蛛网膜下腔出血。

病例5:49岁男性,左侧大脑手术。方法1 rCBF增加率78%,方法2高达149%,术后第2天发现少量蛛网膜下腔出血。术后给予1天持续镇静,出血未扩大。

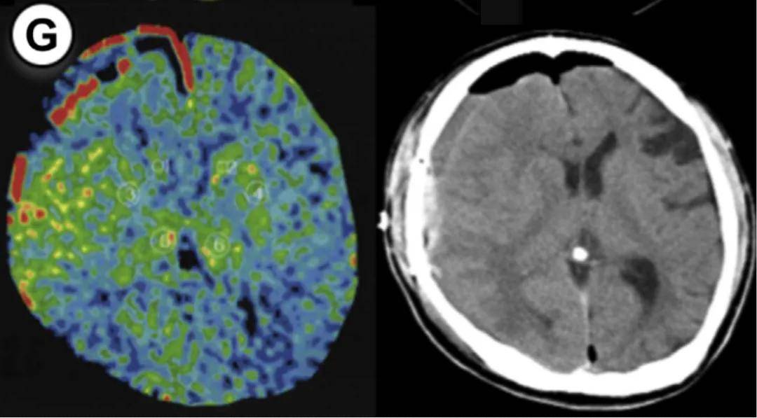
病例6:26岁男性,右侧大脑手术。方法1 rCBF增加率63%,方法2达72%,术后第2天发现硬膜下血肿合并蛛网膜下腔出血。术后1天镇静干预后出血吸收。

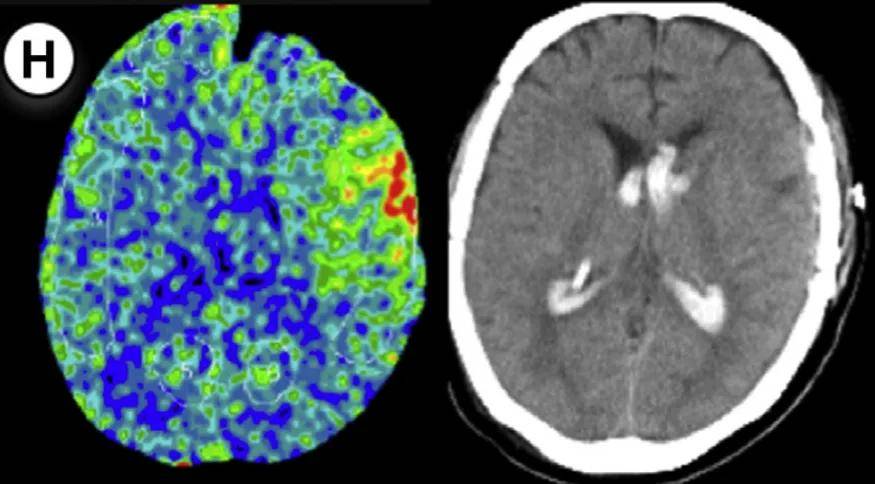
病例7:35岁女性,左侧大脑手术。方法1 rCBF增加率77%,方法2达67%,术后第2天发现出血合并脑室内出血。因术前知晓rCBF超标,提前规划镇静干预。

7个病例年龄范围25-55岁(无儿童),出血类型包括脑出血(ICH)、蛛网膜下腔出血(SAH)、硬膜下血肿(SDH)及混合出血,发病时间术后1-5天。所有患者rCBF增加率均≥30%(方法1)或≥50%(方法2),证实这两个阈值的预警价值。
基于7例病例总结术后管理三步骤:
第一步:术后rCBF精准测量
通过氙气增强CT,在大脑中动脉供血区固定部位测量rCBF,术后即时完成首次检测。
第二步:分层干预方案
第三步:干预连续性保障
rCBF未降至安全范围前,不可擅自停止镇静或放松血压控制。
烟雾病搭桥术的成功不仅取决于血管吻合技术,更需要对高灌注这一并发症进行有效管理。术后早期进行rCBF量化评估,并根据明确阈值采取分层管理策略,是提高手术安全性的关键环节。
对患者及家属而言,认识术后存在高灌注风险是科学认知的重要组成部分。术后在ICU期间的血压控制和镇静管理是重要的保护措施,需要积极配合医疗团队的治疗方案。
本文参考文献来源:
Akitsugu Kawashima, et al. Predicting the Occurrence of Hemorrhagic Cerebral Hyperperfusion Syndrome Using Regional Cerebral Blood Flow After Direct Bypass Surgery in Patients with Moyamoya Disease. 2018