听神经瘤确诊后,患者常面临治疗决策的两难困境。选择放射治疗担忧无法实现根治效果、后续复发问题复杂,选择外科手术则顾虑创伤程度大、手术风险高。高龄患者群体中,家属常在保守治疗与根治性手术之间反复权衡,难以确定最佳治疗方案。
针对听神经瘤,主流治疗方式主要包括显微外科手术和立体定向放射外科治疗(如伽马刀等)。两种治疗方案存在本质差异:
显微外科手术以肿瘤全切为首要目标。通过精细的显微操作技术,直接切除病灶组织,能快速解除肿瘤对脑干、小脑及颅神经的压迫效应,从根本上解决占位性问题,避免疾病复发。该方式是当前可能实现根治的唯一方法。
立体定向放疗的治疗原理是通过聚焦高剂量射线照射肿瘤区域,抑制肿瘤细胞生长。该方法并非直接切除肿瘤,而是以控制肿瘤生长为主要目的。形象而言,放疗类似于对肿瘤进行强力抑制,使其进入暂时休眠状态或出现轻度缩小,但未彻底清除肿瘤细胞。此外,放疗射线可能损伤瘤周重要神经和血管结构。多数患者放疗后需要长期带瘤生存,并面临肿瘤再次生长、神经症状加重的潜在风险,因此需要终身接受密切随访。
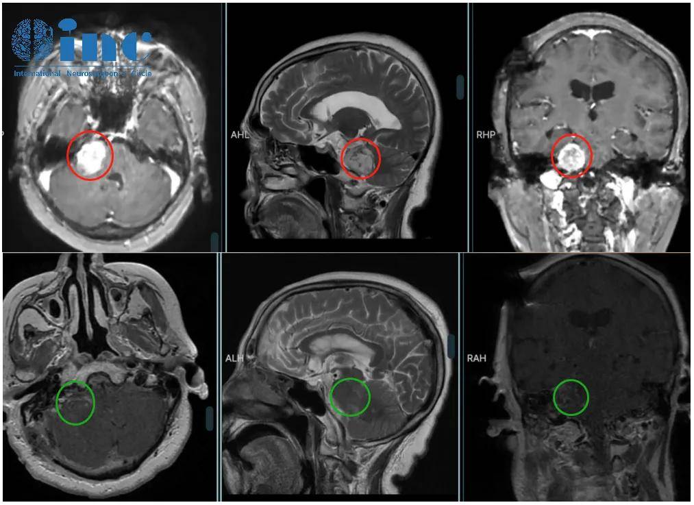
78岁高龄患者李奶奶(化名)确诊听神经瘤一年后,肿瘤迅速增长至超过3厘米,属于大型听神经瘤范畴。病情进展引发严重临床症状:听力显著下降、脑积水、步态不稳、下肢无力等表现,对生命健康构成严重威胁。

家属考虑到患者高龄因素,认为开颅手术风险较高,遂向INC巴特朗菲教授进行远程咨询,探讨选择创伤较小的放疗方案的可行性。
INC国际教授团巴特朗菲教授详细评估影像学资料后,给出专业分析:虽然放射外科治疗具有可行性,但考虑到肿瘤体积因素,长期治疗效果可能不够理想。放疗后3-4年,肿瘤可能再次生长,需要手术治疗。届时患者年龄可能超过80岁,手术风险将显著高于当前。基于此评估,教授推荐实施以肿瘤全切为目的的开颅手术,从而避免术后肿瘤复发的担忧。

巴特朗菲教授的核心治疗理念强调时间窗与风险比的平衡:放疗对大型肿瘤的长期控制效果有限,推迟手术将面临更高风险,根治性手术可实现一劳永逸的治疗效果。
2022年巴特朗菲教授在华学术交流期间,亲自为李奶奶实施高难度听神经瘤显微切除术。手术成功实现肿瘤全切,神经功能保护良好。术后一年随访显示,患者康复状况良好,精神饱满,能与家人正常互动。

需要注意的是,每位患者的病情特点、年龄阶段、身体状况和治疗需求都存在差异,治疗方案需要个体化制定。以上治疗建议仅供参考,具体治疗方案需经主治医师评估后确定。