高三女生“眼中风”永久致盲 黄金90分钟这些方法及时自救
创始人
2025-10-21 15:18:14
0

本文转自【央视新闻客户端】;

很多人听说过“脑中风”,但对于“眼中风”可能比较陌生。近日,一则“高三女生眼中风永久致盲”的消息登上热搜。江苏一名高三女生左眼突然失明,错过最佳就医时间,永久致盲。“眼中风”是一种什么样的疾病?发生后如何自救及治疗?

什么是“眼中风”?

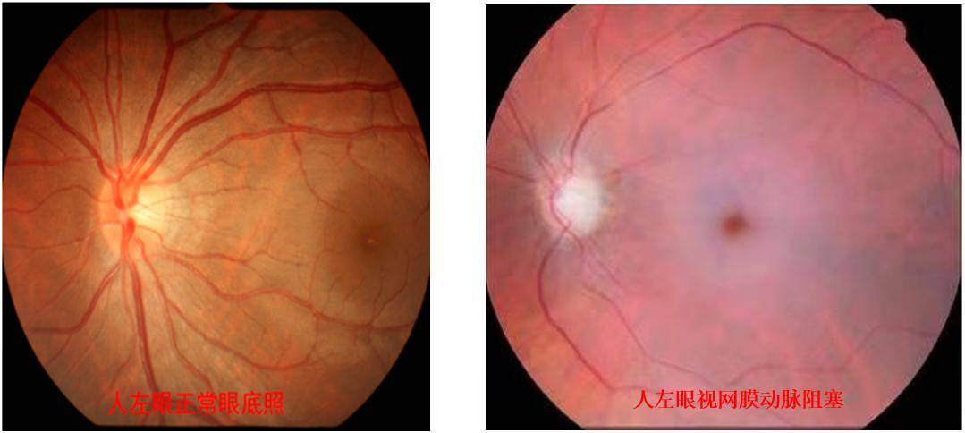
“眼中风”在医学上称为视网膜中央动脉阻塞,是由于视网膜中央动脉发生阻塞而造成的视网膜急性缺血性疾病,这种眼科急症可导致患者视功能严重受损甚至完全丧失

视网膜就像照相机的胶卷底片,它将照入眼内的光转换为电信号,通过视神经传送至大脑,我们才能“看到”周围的事物。

视网膜对局部缺氧极其敏感,如果新鲜的动脉血不能进入和滋养视网膜,就会发生无痛性的突然视力下降或丧失,也就是出现“眼中风”。

需要注意的是,部分人在发生“眼中风”前会出现先兆症状一只眼睛出现突发的、一过性黑曚,数秒或数分钟后视力自行恢复。很多人会误以为这是疲劳所致,睡一觉就好,殊不知这样很容易错过黄金治疗期。

发生“眼中风”后

如何自救及治疗?

“眼中风”的特点是发病急、症状重、不可逆,发病后90分钟内为黄金治疗期。一旦视网膜中央动脉缺血、坏死,错过最佳治疗时间,视力恢复的可能性非常小。发生“眼中风”后,应该如何自救?

首先应保持冷静,第一时间赶往医院眼科急诊。

家中如备有急救药物硝酸甘油,可舌下含服,以扩张视网膜中央动脉。

00:21

在到达医院前,用手掌按压眼球10秒,突然放松压迫,不断重复这个动作,持续10到15分钟,以减轻视网膜动脉灌注阻力,降低眼压。

预防“眼中风”

记住以下关键点

视网膜中央动脉阻塞多见于老年人。它的发生与高血压、高血糖、高血脂、心脏病等疾病密切相关。老年人血管弹性下降,管壁硬化,再加上老年人常有各类基础病,很容易罹患“眼中风”。

近年来,由于压力大、用眼过度、基础疾病等因素,“眼中风”的患者呈年轻化趋势。预防“眼中风”,记住以下关键点↓

“三高”人群低盐、低脂饮食,遵医嘱按时、按量服药,从源头上预防“眼中风”。

避免过度疲劳及紧张,保持心情愉快。

改变不良的生活习惯,避免用眼过度,不要熬夜。

有心脑血管慢性疾病的患者,应至少半年做一次眼底检查,及早发现风险。

(央视新闻客户端综合)

相关内容

热门资讯

【每日一膳】这个低卡高纤的“作... 想减肥又管不住嘴?试试雪莲果,甜脆多汁、低卡高纤,简直是减重期的“作弊神器”! 雪莲果长得像红薯,但...
这5类人减肥,真的建议去减重门... 你是否也试过这样减肥:拼命节食、疯狂运动,甚至尝试各种网红“速瘦法”,结果要么越减越没力气,要么迅速...
原创 霜... "霜降不补,一冬受苦"这句老话你听过吗?10月23日霜降将至,作为秋季最后一个节气,此时人体阳气内敛...
雷布克珠单抗显著改善中重度特应... 对于许多中重度特应性皮炎患者来说,疾病不仅影响外观,更严重干扰了生活质量。瘙痒难忍的夜晚、焦虑抑郁的...
搜狐医药 | 罗氏单抗Gazy... 出品 | 搜狐健康 作者 | 周亦川 编辑 | 袁月 Fierce Pharma报道,罗氏旗下的单克...
男性日常调理,你调对了吗? 一、按中医特性分类:贴合男性日常调理需求 1. 补气类:帮身体 “提劲”,应对日常疲劳 党参:中医认...
搜狐医药 | 默沙东将在ESM... 出品 | 搜狐健康 作者 | 周亦川 编辑 | 袁月 默沙东公众号近期消息,默沙东将在2025 年欧...
调查发现:男性若长期不喝酒,用... 如今,许多人都习惯了日常喝酒,不管是社交场合,还是放松心情,一杯酒似乎成了不少人的“必备良药”。 然...
医生叮嘱:过了60岁的老年人,... 随着年龄的增长,老年人的心脏功能逐渐减退,血管的弹性也大大降低,很多看似日常的小事对心脏健康都会产生...
控制不住地难过!乐观的女设计师... 潮新闻客户端 记者 吴朝香 通讯员 宋黎胜 周泽楷 “医生,我也不想这样,但就是控制不住地难过和烦躁...
秋季可以把茯苓列在食谱上,健脾... 有味药材被古人赞誉为“四时神药”“药膳白银”,它就是茯苓。茯苓的药用历史悠久,《神农本草经》将茯苓列...
广州市哲宁堂水蛭健康生物科技有... 探秘哲宁老师的水蛭疗法与水蛭素传承之路。 医学发展宛如一幅波澜壮阔的画卷,传统智慧与现代科技相互交织...
原创 青... 2025年10月13日,加州大学旧金山分校科研团队在《美国医学会杂志》(JAMA)发表的大规模研究引...
天气降温,医生提醒肺病患者:牢... 寒冷的天气、干燥的空气以及气温的剧烈变化都可能加重呼吸系统的负担,导致疾病的加重或复发。 为了帮助肺...
原创 杨... 北京时间10月17日,开拓者客场迎战爵士。这场比赛对杨瀚森来说,本应是常规赛前的最后一次练兵机会。此...
研究发现:柚子虽好,但这四种人... 每年到了秋冬季节,柚子就成了果盘里的主角。它酸甜清香,水分多,热量低,维生素C含量还高,是不少人眼里...
体检发现胃肠息肉别慌!早识诱因... “体检做胃肠镜,查出胃里有 2 个 0.6 厘米息肉、结肠 1 个 0.4 厘米息肉,没任何感觉,需...
输卵管通而不畅,对生育有三大影... 输卵管通而不畅,是女性输卵管不孕的一种,虽然有一定的怀孕几率,但是对生育的影响也是不容忽视。 如果查...
高尿酸一口红薯都不能吃?医生提... 高尿酸血症不仅仅是一个简单的血液指标,它往往是许多严重疾病的“先兆”,例如痛风、肾结石、心脏病等。 ...
青少年常见的心理问题有哪些?学... 排除中小学生认识、情感、意志等方面的障碍,锻炼他们的意志品质,优化他们知、情、意、行等方面的素质,使...