感冒后想靠汗蒸“排毒”
34岁男子两天内猛汗蒸三次
不料头晕手抖、行走不稳
一查竟是汗蒸脱水导致血液浓缩
脑静脉系统“排水”异常
诱发脑静脉窦血栓
专家介绍:
这是一种罕见却危险的中风
不久前,阿杨出现流鼻涕、低烧等感冒症状,用热水淋头部后不适感有所缓解,他便坚信高温汗蒸能“排毒”,于是在两天内先后汗蒸3次,每次时长近一小时,其间几乎没有补充水分。第三次汗蒸结束后,阿杨出现了头晕手抖的情况:用钥匙开柜取衣物时,发现钥匙插不进去,随即晕倒在地。紧急送医检查却未见异常,他便返回了工作岗位。
但阿杨的精神状态越来越差,“站着就想睡觉,手脚没力气,走路会晃”。为寻求进一步诊疗,他来到广东三九脑科医院。
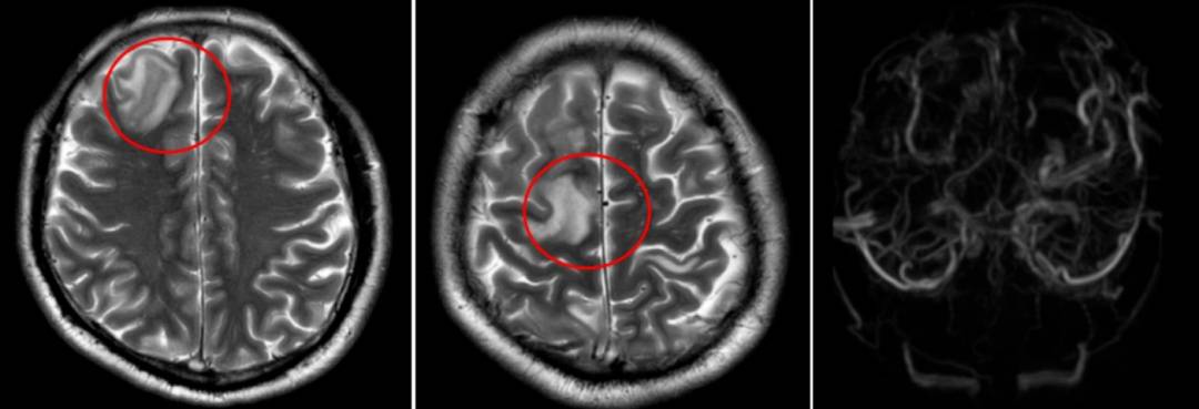
该院神经内二科医生陈婉洁接诊后,高度怀疑静脉窦血栓形成,紧急安排了相关检查。结果显示:右侧颈内静脉、双侧乙状窦、横窦、窦汇、上矢状窦多发血栓,伴静脉淤积性脑梗死。

患者头颅磁共振检查
“脑静脉窦血栓形成是一种相对罕见的中风类型,发病率虽不高,但后果严重。”钟水生用通俗的语言解释说,大脑里有一套“排水系统”——脑静脉和静脉窦,负责清除代谢废物、调节颅内压力等。正常情况下,血液流动顺畅,大脑“排水”正常。一旦形成血栓,静脉回流受阻,大脑“排水”异常,形成颅高压、静脉淤积性脑梗死或出血,引发头痛、呕吐、四肢抽搐、视物模糊、一侧肢体无力或麻木、意识模糊等症状,严重时甚至形成脑疝,危及生命。

钟水生为患者查体
钟水生解释,当人体因饮水不足、大量出汗等致严重脱水时,血液浓缩、血流缓慢,就容易诱发脑静脉窦血栓。而汗蒸本身无害,但“只蒸不补”会让身体陷入危险的高凝状态。阿杨正是在短期内频繁高温汗蒸且未及时补液,导致大脑“缺水”,形成血栓。
据了解,脑静脉窦血栓高发于长期久坐的年轻人群和育龄期女性。钟水生提醒,大量出汗后务必及时补充水分,孕妇、长期服用避孕药的女性、有血栓家族史等高危人群,应谨慎进行汗蒸等易导致身体脱水的活动。一旦出现持续头痛、肢体异常等症状,需立即就医。
幸运的是,经过及时对症治疗,阿杨恢复良好,顺利出院。
(通讯员 张叶美)
来源:珠江新闻