能!
一些良性结节边界清楚
有完整包膜
在肺内活动度好
可以通过剥除的方法切除病变,而不损失肺组织
王冲医生
我们来看三个病例
【病例1】
男性,50+岁,右肺上叶磨玻璃结节+右上叶实性结节
磨玻璃结节很典型,像 早期肺癌
实性结节边界清晰,内部有脂肪密度,像 错构瘤

手术方式:
胸腔镜下, 磨玻璃结节给予楔形切除,实性结节给予剥除。

如何切?
CT上看实性的病变很深,周围有粗大的血管(中央静脉)
1、以中央静脉为标志,向远端游离,离断部分小静脉,就可以触及病变
2、虽可触及,但无法把病变拎起来,也没办法用卵圆钳含住,单纯按压病变只会把它推的更深
3、把支气管当砧板,用手指钝性分离病变表面的肺,等到肺组织足够薄时,病变就会自己“冒”出来(如上图),最后用卵圆钳取出。
4、肺创面进行缝合
病理显示,磨玻璃结节为微浸润癌,实性结节为错构瘤。
楔形切除对于周围型的微浸润癌完全足够!
剥除病灶为患者完整保留了右肺上叶!
【病例2】
男性,40+岁,发现左下叶实性结节5年
患者诉结节刚发现时为0.8cm,形态像良性,给予定期复查
后结节 逐渐增大
2026年3月CT示病变1.6cm
虽然病变像良性,但一直在增大,不能除外肺癌,因此有手术指征。

(再早片子无法追溯,只能对比24年的片子。)
术前CT示:左肺下叶基底段实性结节,大小1.6cm,边界清,有浅分叶,内部密度不均,有点状高密度。看形态确实像良性。
术前讨论时有两种观点:
1、做肺叶切除,保证把病变切下来;
2、做肺段切除,尽可能地多保留些肺组织。
但这两种手术方式都不完美:
切肺叶可能损失的肺太多;
切肺段太复杂,还不能保证能切下病变(因为病变活动度大,有可能受挤压跑到其它肺段)。
我的建议:
切口开大点,保证能伸进去两个手指, 用手把病变捋到胸膜下,然后进行剥除。
最终病灶被顺利剥除,病理为错构瘤,下叶完整保留,非常NICE!

什么,您觉得我开大切口了,不算微创?
切口小,但是切的肺多;
切口大(也没大多少),但不切肺;
这两种情况您觉得哪个是微创?
肺和切口,您觉得哪个重要?
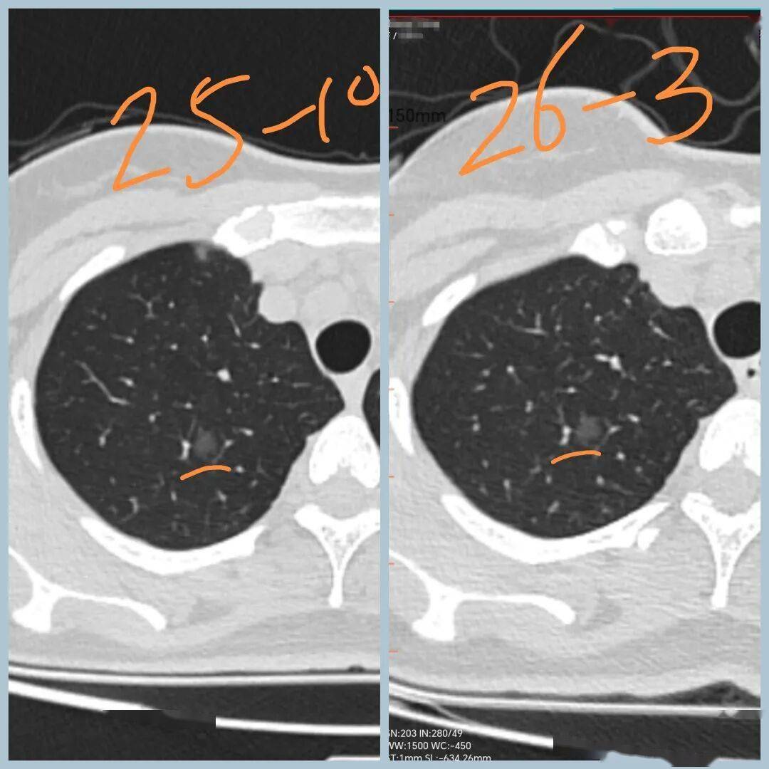
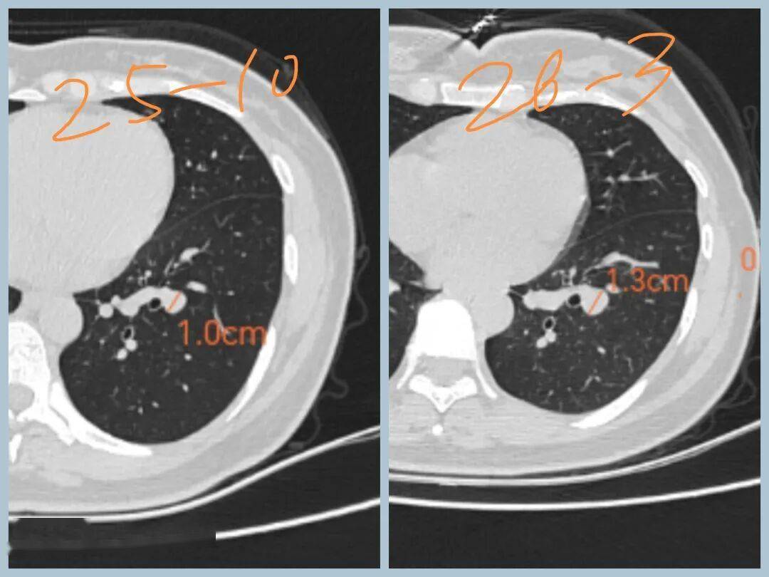
【病例3,网络咨询】
女性,30+,发现双肺结节5个月
分别是右肺上叶纯磨玻璃结节,大小约8mm
左肺下叶实性结节,大小约1cm
5个月后复查,右肺磨玻璃结节无变化,左肺实性结节增大


下一步怎么办:
1、磨玻璃结节无增大,原位癌可能,可继续观察
2、左下叶结节增大,有可能是低度恶性肿瘤,如类癌。也可能是良性病变,如错构瘤、硬化性肺泡细胞瘤。半年后再复查,继续增大,建议手术。
3、手术方式可 尝试剥除,若无法剥除,或为恶性,则行肺叶切除。
【总结】
1、边界清楚的、偏良性的病变以随访为主, 手术要有明确指征
2、手术尽量剥除,减少肺损失
3、不要拘泥于切口大小,多快好省地解决问题是最重要的。
4、我们要思考到底什么是微创,双手的精细程度不是器械和机械臂能比的。
5、这几个良性结节不切行不行?单看片子当然可以,但都有特殊之处:
(1)第一个病例,同一肺叶两处病变,既然都做一次手术了,留下一个病变不切,不合适!
(2)第二个病例,CT上看像良性,但进行性增大,敢不切么?
(3)第三个病例,病变有增大趋势,也是有手术指征的。
来源 | 胸外科 王冲