脑干海绵状血管瘤诊疗案例:从ICU到游乐场
创始人
2026-02-14 09:28:06
0

病情发展与诊断过程

"孩子确诊脑干海绵状血管瘤当天,我感到天塌地陷。2020年初秋的那个下午,医生将CT片递到我手中的场景至今记忆犹新——窗外阳光明媚,我却浑身发冷,双手控制不住地颤抖,手中的影像片沉重如石,压得我呼吸困难。片子上那个微小阴影,伴随着医生字字诛心的话:'这是脑干海绵状血管瘤,正处于活动性出血期……'"

阳阳曾是小区里知名的"高活力男孩",能连续奔跑半小时不知疲倦,笑声清脆悦耳。病情变化来得突然且毫无预兆。

初期症状表现为偶发头痛和呕吐,家长误认为是普通感冒。随后半个月内,家属目睹孩子身体功能快速衰退:行走出现摇晃需扶墙支撑,言语逐渐含糊无法完整唱儿歌,右侧面部肌肉控制力日渐丧失,笑容仅剩左侧面部能扬起。

"孩子到底得了什么病?"这个疑问日夜折磨着年轻父母。他们带着孩子辗转多家医疗机构,最终通过增强核磁共振检查获得明确诊断:脑干海绵状血管瘤,已破裂出血,需立即送入ICU监护治疗。

脑干海绵状血管瘤并非传统意义上的肿瘤,而是一种脑血管畸形病变。该病变位于脑干这一全身最重要的神经枢纽区,形态似海绵状血管簇。平时可能无明显症状,一旦出血,血肿会压迫周围密集的神经核团和传导束,导致运动功能、面部表情、吞咽言语等基本生理功能迅速受损。

治疗决策与手术评估

"脑干手术难度极大,"医生指着影像上的阴影解释,"病变位置特殊,周围布满控制肢体、语言、呼吸的神经组织,稍有不慎可能导致患儿瘫痪,甚至无法苏醒。"

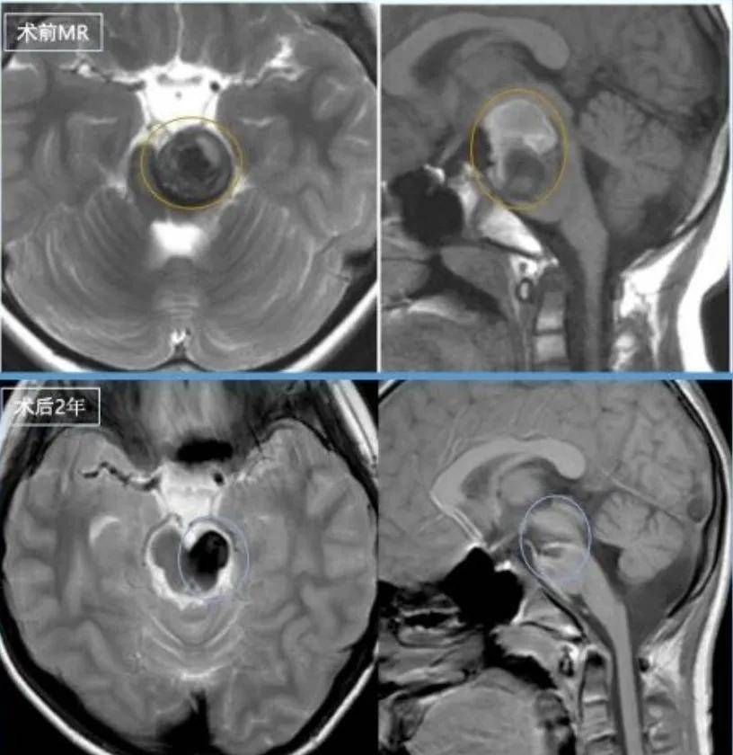
术前情况脑干脑桥偏左侧占位,锥体束受压迫,见含铁血黄素环。

脑干内部空间极为有限,仅手指粗细,薄如纸片,神经血管纵横交错。虽然脑干海绵状血管瘤不属于恶性肿瘤,但危险性极高。文献统计数据显示,脑干出血量达5-10毫升时,死亡率超过75%;出血量超过10毫升时,死亡率可达100%。

当晚,年轻夫妇翻看手机里阳阳往日视频:在幼儿园唱歌、追球,笑容灿烂。"不能放弃希望,"孩子父亲坚定表示,"我们再找其他医生,国内不行就联系国外专家,一定能找到救治阳阳的方法。"

通过查阅医学文献和联系专家,家属最终找到专注脑干手术30余年的德国巴特朗菲教授。该教授累计完成脑干手术800例,其中脑干海绵状血管瘤手术超过300例。当巴特朗菲教授确认可实施手术并有把握全切病变时,阳阳父母激动难抑。

脑干海绵状血管瘤的根本治疗方案为手术全切。反复出血是导致患者残疾和死亡的主因,部分切除病例再出血风险较高,可能引发灾难性神经功能缺损。安全全切手术是防止再出血和实现治愈的根本途径。

手术实施与康复过程

手术当日,巴特朗菲教授采用半坐位手术入路——利用重力减少脑干静脉压力,创造更清晰手术视野。在术中神经电生理监测全程护航下,监测屏幕波形实时反馈神经功能状态。教授精准避开所有关键结构,完整切除血管瘤。

术后当晚,复苏室内阳阳睁开双眼,清晰喊出"妈妈"。术后48小时转出ICU,他用左手捏住父亲纽扣——这一细微主动动作预示运动功能开始恢复。术后第3天,可自主用筷子夹取食物,宣布"我打败怪兽了!"术后第5天,在搀扶下重新迈步。术后3个月,面部瘫痪基本缓解,可小跑追球。

术后三年复查显示无复发

目前术后三年复查显示无复发。额部淡淡疤痕成为男孩勇敢的勋章,他恢复了往日活泼爱笑的性格,但这段经历为他的笑容增添了超越年龄的坚毅。

相关内容

热门资讯

什么年龄适合做眼袋手术?怎么做... 关于做眼袋手术的时机,不少求美者都有类似的困惑:年轻人会想“我现在做会不会太早”,而年纪稍长的则考虑...
22岁中国小伙巴厘岛溺亡,具体... 当地时间2月12日上午,22岁中国男子刘明宇在巴厘岛巴东县卡纳海滩附近水域溺水身亡。遗体于距岸约20...
吃他汀不能碰鸡肉?医生再次告诫... 如今,很多人因为心血管健康问题而服用他汀类药物,这类药物的作用是降低血脂,减少心脏病和中风的风险。 ...
别被负罪感绑架,适度自慰对身心... 长期以来,自慰被贴上“羞耻”“不健康”的标签,不少人因偶尔的相关行为陷入深深的负罪感,却对其真实影响...
血脂开始偏高,不是看胖不胖!医... 每年一度的健康体检,血脂水平常常是让许多人皱眉的指标。 你是否曾认为,血脂偏高只是“胖人”的问...
2026新手干货录音自动转文字... "上周接到大学室友的求助电话,说给父亲买的重疾险理赔卡壳了——就诊时慌乱没记清医生说的“病理分型细节...
原创 它... 在追求健康生活的道路上,我们常常被各种减肥食谱和美容秘诀所困扰。然而,有一种食物,它不仅能够助力减肥...
HPV68高危型阳性要怎样治疗... “HPV68高危型阳性是不是离宫颈癌不远了?需要立刻手术吗?”这是许多患者拿到检测报告后的第一反应。...
过年零食不能少 警惕这些高盐高... 过年零食不能少 警惕这些高盐高糖“陷阱” 除夕将至,又到了全家人围坐在一起看春晚,吃零食的时候了。...
脑干海绵状血管瘤诊疗案例:从I... 病情发展与诊断过程 "孩子确诊脑干海绵状血管瘤当天,我感到天塌地陷。2020年初秋的那个下午,医生...
远离“节日病”健康迎新春 新春佳节是阖家团圆的日子,少不了与亲朋好友聚会。然而,春节期间正值冬春交替,天气变化频繁,加之人口流...
红薯立大功,医生研究:红薯或对... 红薯,作为一种常见的食物,不仅口感甘甜,而且营养丰富。它被广泛种植,并且因其对健康的多种好处而备受推...
乒乓球欧冠-樊振东连输2盘 莫... 北京时间2月14日,乒乓球欧冠1/4决赛次回合开打,萨尔布吕肯对阵亨尼邦。最终,萨尔布吕肯3-2击败...
原创 异... 在探索爱情的海洋中,星座与情感的交织总是引人入胜。当谈及异性相处时,男人是否真心想与你“长久”下去,...
吉安市疾控积春节健康风险提示:... 春节将至,人员流动和聚集增多,各类健康风险也随之增加。为确保大家度过一个平安、祥和的春节,吉安市疾控...
显年轻的秘密:这3个好习惯让你... 你是否在某个聚会上,惊讶地发现某位同学似乎没有老去,依然神采奕奕?这样的现象让人不禁思考:他们是如何...
河南援厄医疗队牵头成立中厄医学... 近日,厄立特里亚卫生部正式批复,同意由第18批援厄立特里亚中国医疗队牵头,联合厄立特里亚国家教学与转...
公立三甲主任亲证!近视手术首选... 近年来,“医护人员自身不做近视手术”的说法在社会上广泛流传,也让不少有摘镜意愿的市民对近视手术的安全...
惊天大冷门!花滑男单马里宁失误... 北京时间2月14日凌晨,米兰冬奥会进入第八日。在米兰速度滑冰馆举行的花样滑冰男单自由滑,哈萨克斯坦名...
原创 男... 在爱情的海洋中,每一颗心都渴望被理解与呵护。然而,当爱意不再,言语便成了最真实的表达。星座作家以专业...