
2025年12月11日,北京市健宫医院肿瘤科韩素红主任团队完成1例晚期肺癌的多学科诊治,采用支气管动脉灌注化疗+支气管镜下新生物电切术多技术联合。该病例术后恢复良好,目前已进行后续内科抗肿瘤用药,病情平稳。
该病例信息如下:
性别:男
年龄:74岁
疾病信息:
该病例右肺巨大肿块,既往合并肾盂恶性肿瘤病史,营养状态差,病情危重,治疗难度较大,预后不佳。
病情描述:
2025年10月中旬因“咳嗽、痰中带血、明显消瘦”在我院泌尿外科住院(肾盂肿瘤病史),初步完善检查提示:右肺门肿块、可疑骨转移,针对该病例情况经过沟通于2025年10月17日转至肿瘤科进行抗感染、化痰及纠正贫血等支持治疗。
治疗过程:


⋄ 2025年10月24日 行CT引导下经皮肺肿物穿刺活检术(微创、后续治疗方案制定的前提)。术后病理:高级别神经内分泌癌,倾向于小细胞神经内分泌癌可能。
⋄ 高龄,基础状态差,无手术根治机会,PS评分2分,营养不良,肿瘤恶性程度学科团队精密协作,制定适合该病例的精准诊疗方案。


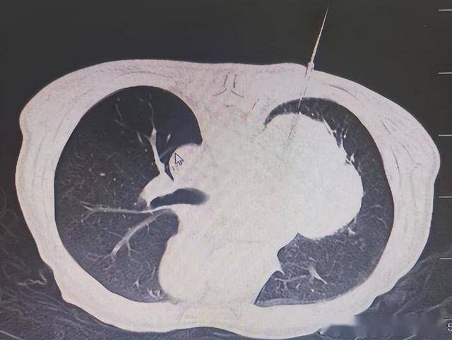
治疗前:右主支气管完全堵塞
⋄ 肿瘤介入:支气管动脉栓塞+灌注化疗;


治疗后:右上支气管开通
⋄ 支气管镜下新生物电切术。
⋄ 期间该病例经历贫血、肺部感染、胸腔积液,在每一步治疗前给与恰当的支持治疗,降低操作及治疗的风险,争取更大的获益。
科普
恶性肿瘤的介入治疗:形象的比喻为海陆空联合治疗:
“海” - 腔内治疗(管腔内):针对突出生长在气管、支气管管腔内部的肿瘤或肉芽肿等。
● 核心思想:从管腔内部对病变进行“削除”、“掏空”或“烧灼”。
● 常用技术:高频电刀/圈套器、氩等离子凝固、激光、冷冻治疗、腔内放射治疗。
“陆” - 壁内/管壁治疗(气道壁本身)
针对生长在气道壁内或黏膜下的病变。
● 核心思想:治疗气道壁本身的病变,如狭窄、增厚或黏膜下肿瘤。
● 常用技术:球囊扩张术、冷冻治疗、光动力治疗、局部药物注射等。
“空” - 腔外治疗(管腔外压迫)
针对气管支气管外部的肿大淋巴结、肿瘤等压迫导致的气道狭窄。
● 核心思想:从气道内部入手,在受压处建立一个“支撑架”,撑开外部的压迫。
● 主要技术:气道支架植入术,这是解决恶性外压性狭窄的最有效方法。
在实际临床中,复杂的病变往往需要多种技术联合应用,这就是真正的“联合作战”
优势与特点
● 微创:
无需开胸手术,通过自然腔道(口鼻)进行。
● 精准:
在直视下操作,针对性强。
● 高效:
能迅速解除呼吸困难、阻塞性肺炎等危急症状,改善生活质量。
● 可重复:
根据病情需要可多次进行治疗。
● 联合治疗:
常与全身化疗、放疗、免疫治疗等相结合,作为局部控制的重要手段。
主要应用疾病
● 中央型肺癌(原发或转移性)导致的气道阻塞。
● 气管支气管良性狭窄(如结核、插管后、肺移植后)。
● 气道内良性肿瘤或肉芽肿(如错构瘤、炎性肉芽肿)。
● 气道瘘(如食管-气管瘘)。
● 难治性气道出血的止血。
