朱先生是一名肺癌患者,每天规律吃靶向药,生活早已回归正轨。前不久突然发热、头痛、头晕、干咳,夜里因为双下肢说不出的不适感翻来覆去睡不着,起初以为是普通感冒没有重视,可5天过去,“感冒”不仅没好转,反而头痛、头晕加剧,还有呕吐, 于是到桐乡一院肿瘤内科就诊。
医生听完主诉,问完病史,瞬间提高了警惕:有4年肺腺癌病史,还在吃靶向药,出现头痛、头晕、呕吐、肢体不适,绝不能是感冒那么简单,于是立刻安排了头颅 MR 增强检查。

头颅增强磁共振报告:考虑脑转移瘤!
面对这样的结果,一家人都崩溃了。医生给他们吃定心丸:别慌!脑转移虽然严重,但发现得还算及时,可以先通过放疗,控制头晕、头痛症状。

肿瘤科的放化疗专家们经过仔细斟酌讨论以及与家属充分沟通后,很快为朱先生量身定制了疗效佳、副作用小的“脑转移立体定向放射治疗(SRT)”,辅以“降颅内压+对症止痛”等综合支持治疗方案。随着一次次“照光”,朱先生的头痛、头晕一天天缓解直至消失,双下肢的不适感也逐渐消失,平稳的睡眠又回来了,生活恢复了以往的节奏。

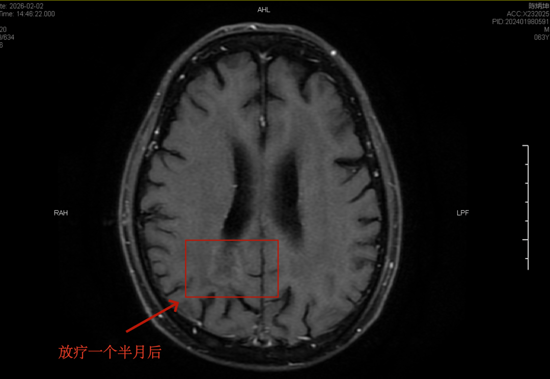
放疗一个半月后复查的头颅核磁共振结果也让朱先生一家十分欣慰:肿块周围的水肿基本消退,原先在黑色底片上触目惊心的白色肿瘤灶也只剩下一点极浅的痕迹。
科普时间

脑转移立体定向放射治疗(SRT)
脑转移立体定向放射治疗(SRT)是一种精准、高效的肿瘤放射治疗技术,专门用于治疗脑部转移瘤(即身体其他部位的恶性肿瘤扩散到脑组织形成的肿瘤),核心是通过聚焦高能射线精准照射肿瘤组织,在摧毁肿瘤细胞的同时,最大限度保护周围正常脑组织。

朱先生的经历,也藏着所有肺癌患者必须知道的三个真相:
病情稳定≠高枕无忧:哪怕长期吃靶向药、肺部复查全正常,肺癌仍可能悄悄向脑部转移,很多患者早期毫无察觉,等到症状加重才能发现。
有些“小毛病” 千万不能硬扛:像朱先生最初的发热、头痛、头晕、下肢不适、失眠,看似是“感冒”,实则可能是脑转移的早期信号,一旦拖延,后果不堪设想。
脑转移≠绝境:放疗是脑转移重要治疗手段,面对脑转移,SRT等技术能快速缓解症状、控制病情,再搭配降颅内压、营养支持等综合治疗,越来越多患者能像朱先生一样,重新回归正常生活。