国内首例

董家鸿院士(左一)和美方专家Tarek Hassanein(右一)共同指导黄鑫医师主刀手术(中)
2025年12月8日
中国内地首台超声组织碎化肿瘤治疗设备
在海南博鳌乐城国际医疗旅游先行区投用
由清华大学北京清华长庚医院
肝胆胰中心执行
首次超声组织碎化肝癌手术
为肝癌提供了无创治疗的新路径
目前经过3个月左右的术后复查、随访
患者肝脏治疗区域肿瘤组织坏死
并被逐渐吸收
相关诊疗技术在海南博鳌继续开展
组织碎化技术(Histotripsy)是一项用于治疗肿瘤的超声消融技术,它通过超声技术实时定位肿瘤位置,后利用高强度超声波在肿瘤内部产生微气泡,这些气泡的快速形成和破裂产生机械力,以无创无热的方式破坏和液化癌细胞。该技术医疗设备于2023年10月在美国获批投入临床使用,目前已在美国、欧洲、亚洲等多个国家投入临床应用。2025年9月通过博鳌超级医院审批引入先行区。

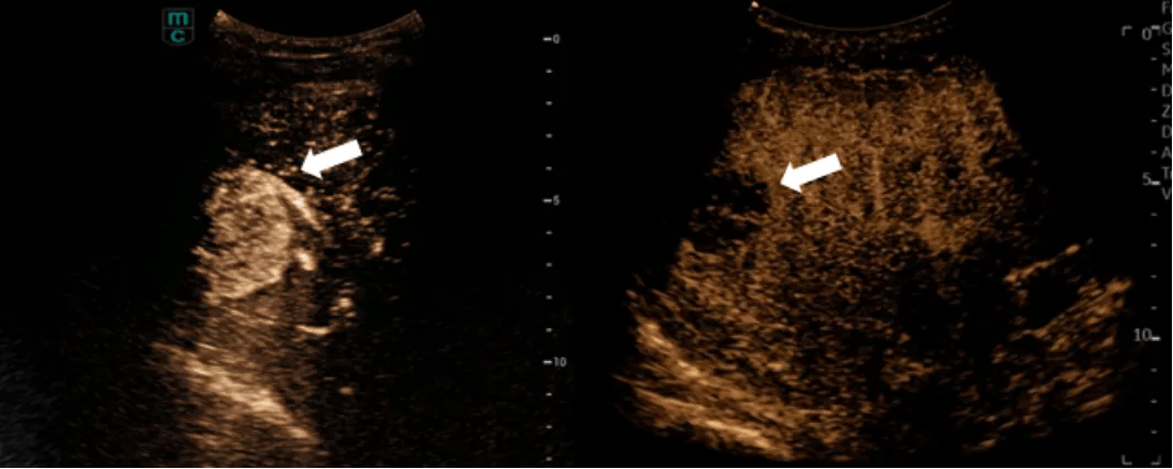
右图为病灶治疗后超声造影显像情况
首次手术共有两名原发性肝癌患者接受了超声组织碎化术治疗。治疗在中国工程院院士、北京清华长庚医院院长董家鸿和美籍专家的指导下,由肝胆胰外科主治医师黄鑫主导完成。每位患者治疗时间不到半小时。术后病灶超声造影显像无强化,即肿瘤在造影剂下已没有变亮显影,患者肿瘤周边的肝脏血管、胆管等脉管未受到损伤。
“目前该治疗方式需要对患者肝脏肿瘤的位置和大小、肝肾功能等进行综合评估后选择。”黄鑫说,这种肝恶性肿瘤治疗的创新手段,不仅能够无创形式灭活肝脏小肿瘤,也能为不符合手术切除或肝移植的肝恶性肿瘤患者带来治疗的转化机会。
据了解,2025年2月,Journal of Gastrointestinal Surgery(中文名《胃肠外科杂志》)发表了覆盖全球9个中心230名经过组织碎化技术治疗的患者安全数据,结果显示:30天内严重并发症的发生率为1.3%。2025年4月Annals of Surgery(中文名《外科学年鉴》)发表了HOPE4LIVER临床试验最近12个月随访结果,显示组织碎化技术的局部肿瘤控制率达90%。
来源 | 肝胆胰中心
文章 | 张琳
责任编辑 | 韩冬野
美编排版 | 宣传中心
要闻回顾 news

学雷锋 践初心 | 北京清华长庚医院暖心启动健康志愿服务月
北京清华长庚医院获2020-2024年度北京市卫生健康先进个人、首都无偿献血工作先进集体荣誉