No.1
解剖定位

腹膜后间隙位于后腹部,是壁腹膜与腹横筋膜之间的间隙及其内解剖结构的总称,上达膈下,下至盆腔入口,除疏松结缔组织、脂肪、淋巴及神经组织外,还包括很多重要的器官和结构。根据肾筋膜前后两层,即肾前筋膜和肾后筋膜及两者在升、降结肠后融合形成的侧锥筋膜,将腹膜后间隙分为三个间隙,即肾旁前间隙、肾周间隙和肾旁后间隙。
No.1
腹膜后肿瘤
腹膜后肿瘤包括原发性腹膜后肿瘤和转移瘤。前者指来自腹膜后间隙间质内的脂肪、肌肉、纤维、淋巴、神经等组织的肿瘤,但不包括腹膜后各器官所发生的肿瘤。后者指来源于腹膜后间隙以外全身不同器官和组织的肿瘤,并以腹内脏器的原发肿瘤和睾丸肿瘤较常见,多数沿淋巴系统扩散,少数为肿瘤沿筋膜或间隙的直接延伸。恶性淋巴瘤是全身性疾病,可首先或单独累及腹膜后淋巴结,也可其后扩散至腹膜后淋巴结。
原发腹膜后肿瘤临床少见,但种类繁多,其中绝大多数为恶性,占 85% 左右,且以间叶组织来源的肉瘤(如脂肪肉瘤、平滑肌肉瘤、纤维肉瘤、横纹肌肉瘤、纤维组织细胞肉瘤、血管肉瘤等)以及恶性畸胎瘤等最常见。腹膜后良性肿瘤少见,主要为脂肪瘤、平滑肌瘤、良性畸胎瘤、异位嗜铬细胞瘤、神经纤维瘤、神经鞘瘤和淋巴管瘤等。
腹膜后肿瘤的临床表现缺乏特异性,肿瘤较小时,一般无明显症状,仅当病变增大到一定程度而影响邻近器官时才会出现相应症状,如腰背部胀痛或胁腹部不适伴腹部包块。
腹膜后肿瘤的诊断定位:依据肿瘤的大概位置,是否推移相邻脏器、大血管和脏器、大血管移位的方向,以及与脏器间的脂肪间隙是否清晰,可判断肿瘤位于肾旁前间隙、肾周间隙和肾旁后间隙哪个位置。
1、原发腹膜后恶性肿瘤的影像学表现
CT、MRI:①可明确肿瘤所在腹膜后间隙的解剖部位、范围和大小。肿块常巨大,根据腹膜后间隙内脏器的移位及病变与筋膜的关系,不难判断其位置及所处的解剖间隙。②可判断肿瘤的病理结构和类型,MRI 采用不同序列或脂肪抑制技术在诊断方面更具优势。平扫肿瘤常呈不均匀密度或信号,其内可有坏死、囊变区;增强扫描多呈不均一明显强化。某些腹膜后恶性肿瘤具有一定特征,如:脂肪肉瘤依其表现可分为实体型、假囊肿型和混合型,肿瘤常呈侵袭性生长,其中混合型者表现为不均一密度并含有低密度脂肪灶区,脂肪灶可被 MRI 脂肪抑制序列所抑制呈低信号改变;平滑肌肉瘤侵袭性较强,易侵犯下腔静脉,肿块易发生坏死、囊变,T1WI 上呈低至中等信号,T2WI 上呈中至高信号;神经母细胞瘤常有斑点状钙化,并易发生在婴幼儿或儿童。其他恶性肿瘤缺乏明显特征。

腹膜后脂肪肉瘤(位于右肾旁前间隙,肾脏及肾周脂肪受压向后内侧移位,升结肠和胰头受压向前内侧移位)。肿瘤以实性成分为主,内部及边缘部可见脂肪低密度影
2、腹膜后良性肿瘤的影像学表现
CT、MRI:常呈圆形或椭圆形肿块,边界清晰,和邻近结构多分界明确,增强扫描肿瘤实性部分多可强化。其中,脂肪瘤呈均一脂肪性低密度,MRI 特征性表现为 T1WI 高信号和 T2WI 中高信号,且信号强度与皮下脂肪相同,脂肪抑制序列上信号减低;囊性淋巴管瘤呈均一水样低密度,MRI 上呈 T1WI 低信号 T2WI 明显高信号影,囊壁光整,部分病灶有沿淋巴管走形区分布特征;畸胎瘤含有三个胚层组织结构常呈多种成分的囊实性肿块,其中包括低密度脂肪组织、水样低密度区、软组织密度区和高密度钙化灶,增强扫描囊壁和实性部分可强化;神经源性良性肿瘤(包括神经纤维瘤、神经鞘瘤、节细胞神经瘤和副神经节瘤)常位于脊柱两旁,多表现为边界清楚的软组织肿块,密度可从水样密度到肌肉密度。

囊状、管状淋巴管瘤(位于腹膜后大血管旁)

腹膜后异位嗜铬细胞瘤(位于髂血管旁,小肠结构受压向前推移)

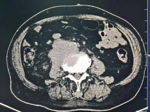
神经鞘瘤(位于腹主动脉旁)。肿块内可见囊变低密度区

副神经节瘤(位于胰腺后方、腹主动脉旁)。增强扫描明显强化
3、腹膜后淋巴瘤的影像学表现
腹膜后淋巴瘤多为全身淋巴瘤的一部分,也可单独发生或为首先受累部位。受累淋巴结多为均匀增大,有时可有小的坏死灶。部分少见淋巴瘤表现为弥漫浸润性生长,可累及单个或多个脏器及组织间隙。
CT、MRI:初期,显示腹膜后某一区域多个增大的淋巴结呈圆形或椭圆形软组织密度结节影,边界清晰;病变进展时,受累淋巴结明显增大或相互融合呈分叶状团块,其内可有多发不规则小的低密度区。当腹主动脉和下腔静脉后淋巴结肿大为主时,将腹主动脉和下腔静脉向前推移至其显示不清,此所谓「主动脉淹没征」。另外,CT、MRI 检查还可发现盆腔、肠系膜、纵膈或表浅部位的淋巴结增大及其他脏器如肝、脾、肾受累的表现。增强扫描呈轻度强化,发生坏死的淋巴结内可见无强化的偏心性低密度或 T1WI 低信号 T2WI 明显高信号区。淋巴瘤增强检查还能进一步鉴别增大的淋巴结和血管影,并可显示血管被包绕和推移的情况。MRI 可鉴别淋巴瘤治疗后的肿瘤残留、复发与纤维化,若为纤维化则 T1WI 和 T2WI 上均呈低信号改变。

腹膜后弥漫性淋巴瘤。肿瘤弥漫性浸润腹膜后脂肪间隙及双肾、直肠系膜,包绕主动脉及下腔静脉
4、腹膜后转移瘤的影像学表现
全身各部位的恶性肿瘤均可转移至腹膜后间隙,但以腹膜后器官、消化系统、盆腔、泌尿和生殖系统的恶性肿瘤转移最为多见。
CT、MRI:最常见的两种表现为实质性肿块或淋巴结增大,实质性肿块表现多样,缺乏特征性。部分腹膜后转移瘤是由椎体转移瘤扩展而来,CT、MRI 除显示软组织肿块外,还能清晰显示椎体骨质破坏的情况。淋巴结转移多位于腹主动脉旁,增大的淋巴结可呈单一或多个类圆形软组织密度结节影,边缘清楚,多个增大淋巴结可融合呈分叶状肿块,推移或包绕大血管,部分淋巴结可发生坏死而至密度或信号不均匀。增强呈轻度至明显均一或不均一强化。

左侧肾癌术后,腹膜后淋巴结及肝脏多发转移瘤。转移淋巴结增大、融合,内部可见坏死低密度影

宫颈癌,腹膜后淋巴结转移。腹主动脉、下腔静脉及髂血管旁多发肿大淋巴结,T2WI 上呈稍高信号,内部坏死呈明显高信号

膀胱癌,椎体转移瘤并腹膜后软组织肿块形成。肿块与骨质破坏区相连,边缘毛糙