在这个快节奏的时代,健康成为了我们最宝贵的财富。提到肺结节,相信不少朋友都有所耳闻。作为一种常见的肺部病变,它给许多人的生活带来了困扰。虽然大多数肺结节是良性的,经过及时的治疗,相关的不适症状往往能得到缓解。但是,当身体发出某些特定的“警报”时,我们可不能掉以轻心!

今天,邀请肺结节专家黎同明主任来为所有肺结节患者点亮一盏健康的警示灯,让大家深入了解那些可能预示着结节癌变的恶性征兆。
征兆一:局部锐痛
如果你原本只是偶尔感到胸部不适或轻微疼痛,但突然之间,疼痛变得尖锐且持续,那就需要高度警惕了。局部的锐痛可能是结节内部发生变化的信号,及时就医检查,才能安心。

征兆二:痰中带血
咳嗽、咳痰本是肺结节的常见症状,但当你发现痰液中夹杂着血丝时,这绝非小事。痰中带血往往是肺部病变加重的表现,它可能意味着结节已经侵犯到了周围的血管。遇到这种情况,务必第一时间就医。
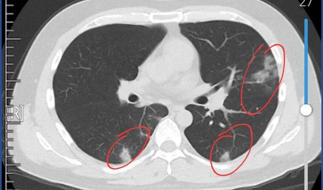
征兆三:结节密度增加
在进行定期的肺部检查时,如果你发现自己的结节密度明显增加,这同样是一个不容忽视的信号。密度的增加可能意味着结节内部的结构正在发生变化,这种变化往往与癌变息息相关。

征兆四:牵涉痛蔓延
原本只是局限在胸部的疼痛,如果开始逐渐蔓延到背部、肩部等其他部位,这往往意味着病变正在扩散。牵涉痛的蔓延是身体在向我们发出紧急求救信号,切勿忽视!