十年前,在异乡务工的李女士为长效避孕选择了放置宫内节育环。这枚直径不足两毫米的金属装置,却在十年后因长期未复查,悄然成为一场危及健康的“隐形迁徙”。
2025年3月,40岁的李女士因突发尿频、尿急伴夜尿增多,于长沙某医院确诊膀胱结石,并行经尿道钬激光碎石术。术中意外发现膀胱内异物,结合病史高度怀疑节育器异位。为取出移位节育器,她来到了常德市第四人民医院进一步诊治。
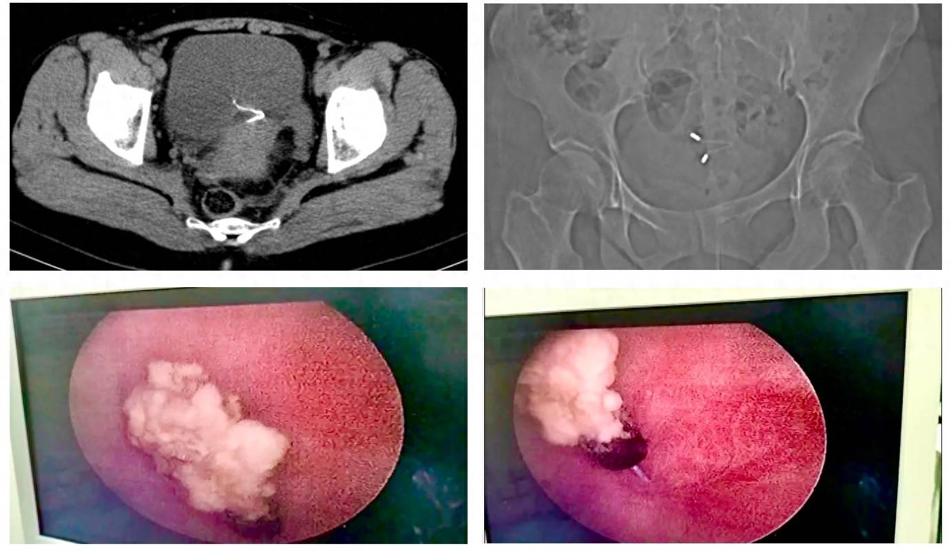
术前检查提示,节育器于膀胱内再次形成结石,未损伤输尿管开口

入院后,妇产科超声检查提示宫腔内无节育器影像。泌尿外科孔斯聪副主任医师会诊后,通过CT三维重建明确:这枚节育器已穿透膀胱全层,在膀胱浆膜外形成脓性包裹,与子宫后壁致密粘连,紧邻阴道穹隆,操作稍有不慎即可能引发泌尿生殖瘘。经多学科讨论,最终制定腹腔镜下膀胱切开取环方案。


手术在超声引导下精准定位展开,孔斯聪教授团队首先以等离子刀游离膀胱外纤维束带,可吸收缝线悬吊膀胱顶以防止脓液腹腔播散,随后完整取出已严重变形的节育器,并彻底清创缝合。

如今,康复出院的李女士常向身边的姐妹们展示腹壁上三个0.5厘米的微创切口:“定期复查不是小事,健康容不得侥幸。”
此例复杂节育器异位手术的成功实施,标志着常德市第四人民医院泌尿外科团队在多学科协作(MDT)模式下,已具备通过微创技术处理高难度泌尿系损伤的综合能力——腹腔镜下精准定位、组织保护性操作、功能重建三位一体的诊疗方案,为同类复杂病例提供了更安全、创伤更小的临床路径。
科普小知识
一、什么是宫内节育器?
宫内节育器(intrauterine device,IUD)是一种 可逆性强的避孕方式,具有安全、有效、简便、经济及并发症少的特点,不影响女性内分泌系统,避免了一般药物避孕的不良反应,因而广泛用于育龄妇女中,放置 IUD 操作简单,但也可能引发严重并发症,如腹腔内大出血、膀胱穿孔、生殖损伤、继发感染等,不及时处理,可能会威胁患者的生命安全。
二、宫内节育器移位的危害与预防
1、避孕失败与意外妊娠
避孕效果下降:节育器移位后可能无法有效阻止受精卵着床,导致避孕失败。
带环妊娠风险:移位可能增加宫外孕或宫内妊娠概率。若节育器异位至输卵管附近,可能引发异位妊娠,需紧急处理。
2、局部组织损伤与并发症
子宫穿孔或嵌顿:移位节育器可能穿透子宫壁,嵌入肌层或进入腹腔,导致腹痛、出血甚至损伤邻近脏器。
慢性炎症与感染:异物长期刺激子宫内膜可能引发无菌性炎症,若合并细菌感染,则发展为子宫内膜炎、盆腔炎。
3、生理不适与功能障碍
月经异常:移位可导致月经量增多、经期延长或不规则出血,长期可能引发贫血。
腰腹疼痛:节育器压迫或嵌顿可能引起持续性下腹坠胀、腰酸,甚至影响日常活动。
4、取环难度增加
手术复杂性上升:嵌顿或异位的节育器需在B超、宫腔镜或腹腔镜下取出,手术创伤和费用较高。
绝经后风险加剧:绝经后子宫萎缩,未及时取出的节育器更易嵌顿,增加取环难度和并发症风险。
5、长期健康隐患
材质老化与毒性风险:超期未取的节育器可能释放铜离子或激素异常,引发过敏反应或宫腔粘连。
影像检查干扰:金属材质节育器可能影响MRI等医学检查的准确性。
6、建议与预防
定期复查:每年妇科检查(如B超)监测节育器位置。
及时处理症状:若出现异常出血、腹痛或无法触及尾丝,需立即就医。
绝经后及时取环:建议绝经后6-12个月内取出,避免嵌顿风险。
湖南医聊特约作者:常德市第四人民医院 泌尿外科 田景林
关注@湖南医聊,获取更多健康科普资讯!
(编辑YT)