肝脏,作为人体腹腔内最大的实质性脏器,质地脆弱如 “豆腐”,且血供丰富。一旦遭受外力冲击引发挫裂伤,极易引发大出血,短时间内就可能危及生命。42岁的段女士(化名)就因一场意外摔伤,直面肝挫裂伤的致命威胁,而北京佑安医院介入中心的急诊介入栓塞术,成为守护她生命的 “关键防线”。
突发险情:摔伤致肝挫裂伤,患者命悬一线
2025 年 11 月 16 日下午,北京佑安医院介入中心二线医生靖长友突然接到急诊科紧急呼叫:一名由外院转来的 42 岁女性患者,因外伤导致右上腹剧烈疼痛,外院 CT 提示肝脏 S8 段及肝右叶包膜下高密度影,高度怀疑血肿,不排除肿物破裂出血。此时患者心率偏快、面色苍白,已出现休克前兆。急诊科医生早已启动危重患者救治流程:一边快速补液、输血实施抗休克治疗,竭力维持患者生命体征;一边加急完善相关检查并同步启动多学科会诊。传统开腹手术虽能止血,但创伤大、手术时间长,对于已出现休克前兆的段女士而言,手术风险极高,术后恢复也相对缓慢。靖长友医生火速赶到急诊科,果断提出采用介入栓塞术这一微创治疗方案 —— 其创伤小、止血快、恢复快的特点,正是当下适配患者病情的最优选择。
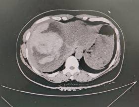
正在加班的介入中心李建军主任看过患者影像资料(图一)后,明确诊断患者肝出血,必须立即手术!然而,一个棘手的问题摆在面前:患者正处于月经期,介入栓塞术后再次出血和感染的风险会显著增高。但如果不紧急手术,一旦肝包膜下出血破裂,患者将很难存活。在与家属充分沟通、综合权衡利弊后,急诊介入栓塞术被确定为挽救段女士生命的唯一最优选择。与此同时,导管室的医护团队在崔雄伟主任和井学敏护士长的统筹安排下,宋丽波护士及杜宁技师已紧急就位,术前准备工作紧锣密鼓、有条不紊地推进。

(图一:患者术前 CT 影像(2025-11-16))
精准施救:60 分钟微创栓塞,成功止血稳定病情
2025年11月16日14:30,手术正式开始。手术按急诊介入栓塞术临床操作规范推进,数分钟内完成股动脉穿刺后,术者将细小导管逐步送入血管;依托肝脏解剖结构的临床认知与操作标准,顺利将导管引导至肝脏出血部位。借助数字减影血管造影(DSA)技术,患者肝脏出血点清晰显影。术者结合影像结果,对肝右叶破裂的血管分支及造影剂外溢处完成定位,随后按标准流程将栓塞材料逐步输送至出血血管。整个操作过程符合临床诊疗规范,成功实现出血血管的精准封堵。

(图二:靖长友医生正在行术中栓塞操作)
手术全程用时 50 分钟,术中医生护士间断与段女士沟通,栓塞后患者腹痛症状逐步缓解,血压稳步回升,生命体征趋于平稳,活动性出血得到彻底控制,术后段女士由急诊转入肝病中心三科病房进行进一步治疗。
险情再发:深夜紧急施救,化解二次出血危机
本以为病情已趋于平稳,没想到意外再次发生。2025年11月18日 23:46,介入二线突然接到内科二线孙蕊芸医生的紧急电话:“靖大夫,昨天你做急诊栓塞的段女士,在床上小便后突发右上腹剧痛,彩超提示肝内低回声面积较前增大!”
接到电话后,靖医生立刻警觉起来,判断患者可能是肝挫裂伤栓塞术后出现二次出血,情况危急。他第一时间联系袁春旺主任医师汇报患者情况,袁主任当即指示:需紧急实施二次栓塞治疗!导管室团队再次紧急响应,在主任和护士长的安排下,护士崔京华、邹凯捷,技师马良即刻就位, 11月19日 00:40,二次手术正式开始。介入中心团队再次凭借丰富的临床经验和精湛的操作技术,精准定位肝内可疑出血血管并完成栓塞。术中,段女士自诉腹痛症状明显好转,整个手术仅持续40分钟便顺利结束。

(图三:邹凯捷护士协助准备栓塞材料)
术后,段女士继续在肝病三科病房接受治疗。在孙玉主任医师、赵锦涵主管大夫及护理团队的精心治疗与悉心护理下,她的病情逐渐稳定,顺利下地活动,并于2025年11月27日康复出院。

(图四:左 1 赵锦涵医生、左 2 段女士、左 3 靖长友医生术后合影)
科普小贴士:肝挫裂伤急救,微创技术显优势
肝挫裂伤是临床上常见的腹部外伤急症,尤其对于中年女性而言,身体机能相较于年轻人有所下降,遭遇此类外伤后风险更高。
急诊介入栓塞术凭借其精准、微创、高效的核心优势,为肝挫裂伤等急性出血性疾病的救治提供了全新思路和方法。与传统开腹手术相比,它不仅创伤小、出血少、手术时间短,还能有效降低患者的手术风险和死亡率,缩短术后恢复周期,让患者更快回归正常生活。
段女士的救治经历,不仅彰显了现代医学微创技术的飞速进步,更体现了北京佑安医院医护团队 “与时间赛跑、为生命护航” 的责任与担当,以及多学科协作的强大救治实力。在此也提醒广大市民:日常生活中务必注意出行安全,避免外伤发生。若不幸遭遇意外,务必选择正规医院及时救治,为生命争取最佳救治时机。
北京佑安医院介入中心将持续以精湛的医疗技术、高效的救治流程、贴心的医疗服务,为广大患者的生命健康保驾护航!